全部版块 我的主页
论坛 提问 悬赏 求职 新闻 读书 功能一区 经管文库(原现金交易版)
54 0
2025-12-12

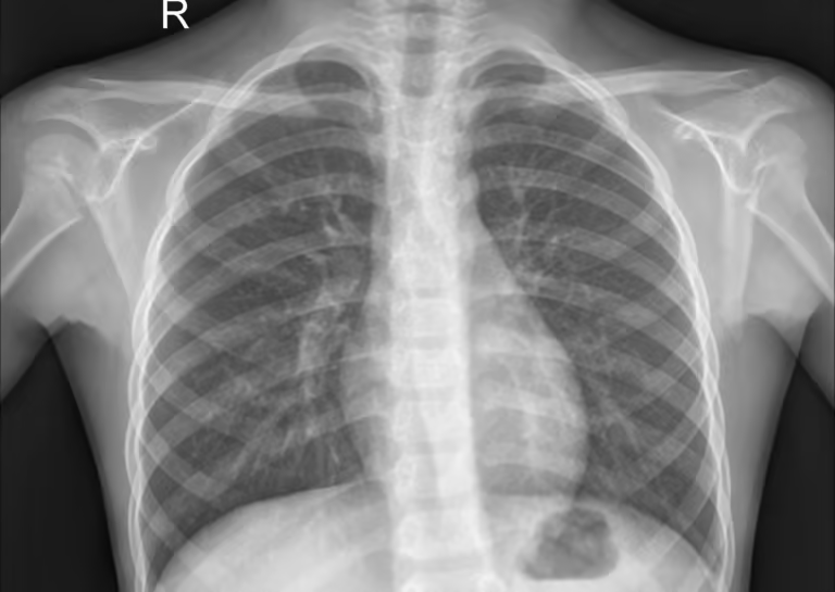
X-ray 胸部肺炎 X 光图像数据集 - 5800 张儿童肺炎检测图像



一、数据集核心信息


数据来源源自广州妇女儿童医疗中心 1-5 岁儿童患者回顾性队列,均为常规临床检查 X 光片,经 3 位专家医生评估校验,第 3 位专家专项审查评估集,数据准确性与医疗专业性强。


覆盖范围:含约 5800 张胸部 X 光图像,分为正常、肺炎(细菌性 + 病毒性)两类,按训练集(train)、测试集(test)、验证集(val)三分结构划分,每类文件夹下含对应类别子目录,分类清晰。


数据优势:经过质量控制筛查,剔除低质量、无法读取图像,适配计算机视觉模型训练与自动化诊断系统测试,无需额外筛选即可直接使用。



二、适用场景与可用途径


学术研究:支撑医学影像 AI、计算机视觉、呼吸道疾病诊断算法等方向论文撰写,为肺炎检测模型性能验证提供标准化医疗影像数据。


技术开发:适配肺炎自动化诊断系统研发、医疗影像识别模型训练与优化,助力提升 AI 在儿童肺炎筛查中的准确率与效率。


医疗应用:辅助医疗机构开展影像诊断辅助工具测试、儿科呼吸道疾病筛查技术升级,为基层医疗影像诊断能力提升提供数据支撑。



2137cf46-6a81-4551-9dd2-f42034f3716c.png




X-ray 胸部肺炎 X 光图像数据集(1)
大小:(85 Bytes)

只需: RMB 15元  马上下载

二维码

扫码加我 拉你入群

请注明:姓名-公司-职位

以便审核进群资格,未注明则拒绝

相关推荐
栏目导航
热门文章
推荐文章

说点什么

分享

扫码加好友,拉您进群
各岗位、行业、专业交流群