全部版块 我的主页
论坛 提问 悬赏 求职 新闻 读书 功能一区 经管文库(原现金交易版)
33 0
2025-12-22

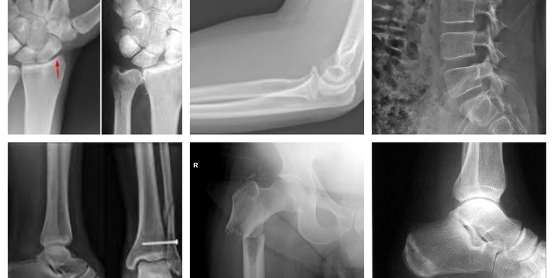
多区域骨折 X 射线数据集 10580 张 含训练测试验证集 骨折 / 非骨折医学影像数据(下肢 / 上肢 / 腰椎 / 臀部 / 膝盖等全解剖区域)


核心资源说明

本次分享多区域骨折 X 射线专业数据集,总计 10580 张高质量放射图像,包含骨折与非骨折两类标注数据,全面覆盖人体所有解剖身体区域 —— 下肢、上肢、腰椎、臀部、膝盖等关键部位均有完整影像收录,数据维度丰富且贴合临床实际场景。


数据结构优势

数据集已按 AI 模型开发标准,分为训练文件夹、测试文件夹、验证文件夹三大模块,每个模块均同步包含骨折与非骨折两类 X 射线图像,无需额外整理即可直接用于算法训练与模型验证,降低数据预处理成本。


适用场景(可用途径)

医学 AI 模型开发:骨折检测算法训练、影像识别模型优化、医疗 AI 系统数据集支撑;

学术研究用途:医学影像相关论文撰写、骨折诊断技术研究、多区域影像对比分析;

教学实践应用:医学专业影像识别教学、放射科技能培训、解剖学影像参考素材;

医疗科技产品研发:骨科辅助诊断工具开发、影像标注系统测试。


核心优势

全解剖区域覆盖 + 骨折 / 非骨折双类别标注 + 训练 / 测试 / 验证三分组 + 10580 张足量数据,满足医学 AI、学术研究、教学实践等多场景使用需求,数据合规可用,直接下载即可投入应用。






255c99b5-7d02-4b7d-ae6e-8b6bddd8d2df.png


多区域骨折 X 射线数据集(1)
大小:(85 Bytes)

只需: RMB 15元  马上下载

二维码

扫码加我 拉你入群

请注明:姓名-公司-职位

以便审核进群资格,未注明则拒绝

栏目导航
热门文章
推荐文章

说点什么

分享

扫码加好友,拉您进群
各岗位、行业、专业交流群